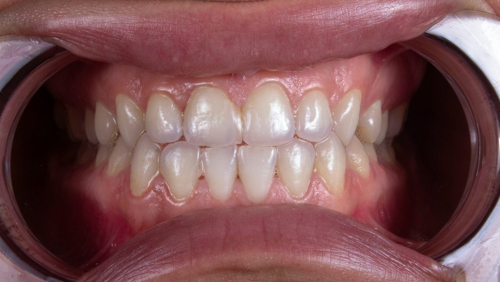
Kronik Diş Eti İltihabı Diş Kaybına Yol Açar mı?

Diş Kaybına Giden Sessiz Tehlike ve 2026’nın En Gelişmiş Tedavi Rehberi Giriş Kronik diş eti iltihabı (Chronic Gingivitis), günümüzde dünya genelinde milyonlarca insanı etkileyen, ancak çoğu zaman hafife alınan ciddi bir ağız sağlığı problemidir. Diş etlerinde kanama (Bleeding Gums), kızarıklık ve şişlik gibi belirtilerle başlayan bu hastalık, tedavi edilmediğinde diş kaybına (Tooth Loss), çene kemiği […]